- Dapatkan link
- X
- Aplikasi Lainnya
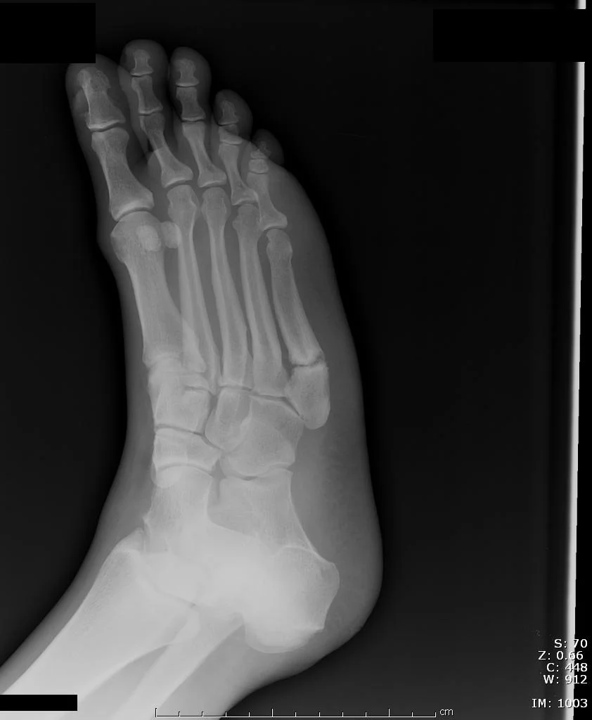
35+ 5Th Metatarsal Bone Fracture Pics. Jones fractures occur in a small area of the fifth metatarsal that receives less blood and is therefore more prone to difficulties in healing. Treatment is either immobilization or surgery depending on location of fracture, degree of displacement, and athletic level of patient.

Jones fractures occur in a small area of the fifth metatarsal that receives less blood and is therefore more prone to difficulties in healing.
The base of the fifth metatarsal is located on the outside (lateral) aspect of the foot where you can feel a prominent bone, about half way along the length of the foot. The fifth metatarsal bone is a long bone in the foot, and is palpable along the distal outer edges of the feet. The fifth metatarsal is located on the little toe side (lateral side) of the foot and connects to the it is located 1.5cm distal to the tuberosity of the 5th metatarsal. Two types of fractures that often occur in the fifth metatarsal are:
- Dapatkan link
- X
- Aplikasi Lainnya
Komentar
Posting Komentar